
뇌 속 기생충이 일으키는 "신경낭미충증"
뇌 속에 기생충이 존재한다는 사실은 듣기만 해도 두려움을 줍니다.
그런데 실제로 이와 같은 현상이 발생할 수 있으며, 이를 신경낭미충증(Neurocysticercosis)이라고 부릅니다.
이 질환은 돼지고기 촌충(Taenia solium)의 유충이 사람의 뇌에 침투해 발생하는 심각한 기생충 감염병입니다.
오늘은 신경낭미충증의 원인, 증상, 진단, 치료, 그리고 예방 방법에 대해 자세히 살펴보겠습니다.


신경낭미충증(Neurocysticercosis)은 돼지고기 촌충(Taenia solium)의 알이 사람의 몸에 들어와 유충 형태로 뇌에 침투해 발생하는 기생충 감염병이며, 주로 오염된 음식이나 물을 섭취하거나 덜 익힌 돼지고기를 먹을 때 감염될 수 있습니다.
이 질환은 발작, 두통, 인지 기능 저하, 뇌수종 등 다양한 증상을 유발하며, 진단을 위해 MRI, CT 촬영 및 혈액 검사가 필요합니다.
치료는 항기생충제, 스테로이드, 항경련제와 같은 약물 치료 또는 심한 경우 수술로 이루어집니다.
위생 관리를 철저히 하고 돼지고기를 완전히 익혀 먹는 것이 예방의 핵심입니다.
1. 신경낭미충증의 원인


신경낭미충증은 주로 돼지고기 촌충의 알이 사람의 소화기관을 통해 체내로 들어와 발생합니다.
다음은 신경낭미충증 주요 감염 경로입니다.
| 오염된 음식 섭취 | 기생충 알로 오염된 물이나 음식을 섭취하면 감염될 수 있습니다. | 
| 비위생적인 환경 | 손을 씻지 않고 음식을 준비하거나 먹는 경우, 기생충 알이 손을 통해 입으로 들어올 수 있습니다. | 
| 감염된 돼지고기 섭취 | 덜 익힌 돼지고기를 섭취하면 촌충 유충이 체내에 들어올 수 있습니다. | 
일단 체내로 들어온 기생충 알은 소장에서 부화하여 혈액을 타고 뇌, 근육, 눈 등으로 이동합니다.
이 중 뇌로 유충이 이동하면 신경낭미충증이 발생합니다.
2. 신경낭미충증의 증상


증상은 기생충 유충이 뇌의 어느 부위에 침투했는지, 그리고 몇 개의 유충이 있는지에 따라 다릅니다.
일반적으로 신경낭미충증 다음과 같은 증상이 나타납니다.
| 발작 | 신경낭미충증 환자 중 70~90%가 발작을 경험합니다. | 
| 두통 | 뇌 내 압력이 증가하면서 심한 두통이 나타날 수 있습니다. | 
| 인지 기능 저하 | 기억력 감퇴, 혼란, 또는 판단력 저하가 발생할 수 있습니다. | 
| 뇌수종 | 기생충이 뇌척수액의 흐름을 막아 뇌수종이 생길 수 있습니다. | 
| 근육 약화 및 시각 문제 | 신경이 압박을 받아 근육 약화나 시각 장애가 나타날 수 있습니다. | 
증상은 서서히 나타나기도 하지만, 갑작스럽게 심각한 형태로 진행되기도 합니다.
3. 신경낭미충증의 진단 방법




신경낭미충증을 진단하기 위해 다음과 같은 방법이 사용됩니다.
▶ 영상 촬영
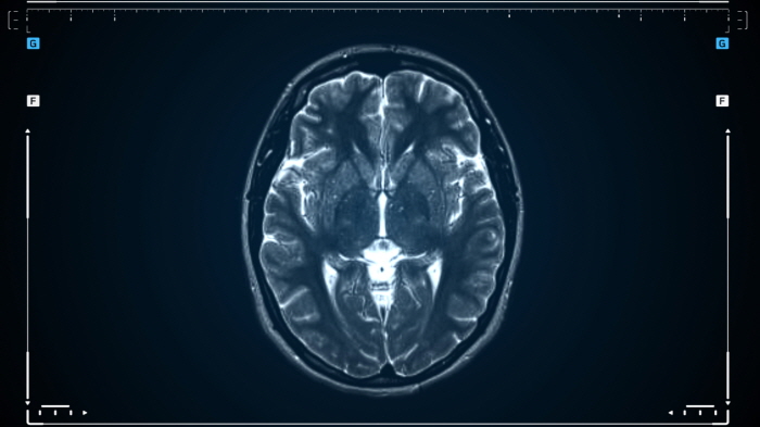
ㆍ MRI(자기공명영상): 뇌 속 유충의 위치와 크기를 정확히 확인할 수 있습니다.
ㆍ CT(컴퓨터 단층촬영): 유충에 의해 뇌에 생긴 병변을 확인합니다.
▶ 혈액 검사
ㆍ 항체 검사를 통해 돼지고기 촌충에 감염되었는지 확인할 수 있습니다.
▶ 척수액 검사
ㆍ 뇌척수액을 채취하여 염증과 기생충 존재 여부를 검사합니다.
ㆍ 정확한 진단을 위해 여러 가지 검사가 병행됩니다.
4. 신경낭미충증의 치료 방법


신경낭미충증은 조기에 발견하면 치료가 가능합니다.
치료법은 환자의 상태와 병의 진행 정도에 따라 다릅니다.
| 약물 치료 | |
| 항기생충제 | 알벤다졸(Albendazole)이나 프라지콴텔(Praziquantel)이 유충을 제거하는 데 사용됩니다. | 
| 스테로이드 | 염증과 뇌 부종을 완화합니다. | 
| 항경련제 | 발작을 예방하고 조절합니다. | 
| 외과적 치료 | |
| 약물 치료로 제거되지 않는 유충을 수술로 제거해야 하는 경우도 있습니다. | |
| 치료 과정 중 증상이 악화될 수 있으므로 전문의의 철저한 관리가 필요합니다. | 
5. 신경낭미충증의 예방 방법

신경낭미충증을 예방하기 위해 다음과 같은 방법을 실천하는 것이 중요합니다.
| 위생 관리 철저 | 화장실 사용 후, 식사 전, 음식 준비 전 손을 철저히 씻으세요. | 
| 식품 안전 | 돼지고기와 같은 육류는 반드시 완전히 익혀 드세요. 깨끗한 물을 사용하고, 오염되지 않은 식재료를 선택하세요. | 
| 감염원 관리 | 돼지 사육 환경을 위생적으로 유지하고, 촌충 감염이 확인되면 즉시 치료하세요. | 

6. 신경낭미충증의 사회적 중요성
신경낭미충증은 특히 위생 시설이 열악한 개발도상국에서 흔히 발생하며, 국제적으로 위생 환경 개선과 기생충 예방 교육이 이루어져야 하며, 돼지고기 촌충 감염을 줄이기 위한 공공 보건 노력이 필요합니다.
개인적인 노력뿐 아니라, 지역 사회 차원에서도 이 질병에 대한 인식을 높이는 것이 중요합니다.
요약하면,
신경낭미충증은 드물지만 심각한 기생충 감염병으로, 조기 발견과 적절한 치료가 매우 중요합니다.
위생 관리와 식품 안전 수칙을 준수하는 것으로 대부분의 감염을 예방할 수 있습니다.
뇌 건강을 지키기 위해 올바른 정보를 숙지하고, 의심 증상이 있을 경우 즉시 의료진의 도움을 받으세요.
돼지고기 냄새 없애는 법
돼지고기 냄새 없애는 법 돼지고기는 고소하고 풍부한 맛 때문에 많은 사람들이 즐기는 식재료 중 하나입니다.돼지고기는 다양한 요리에 활용될 수 있는 맛있는 재료지만, 돼지만의 특유의 잡
momo-24.com
장염 증상과 빠른 대처법
장염 증상과 빠른 대처법 장 건강이 우리의 전반적인 건강과 밀접하게 연결되어 있다는 사실, 알고 계셨나요?특히 장염은 현대인들에게 자주 발생하는 질환으로, 이에 대한 이해와 적절한 대
momo-24.com
신장이 안 좋으면 나타나는 10가지 증상들
신장이 안 좋으면 나타나는 10가지 증상들 신장은 우리 몸에서 매우 중요한 역할을 하는 장기입니다.혈액을 걸러 노폐물을 배출하고, 체내 수분과 전해질의 균형을 유지하며, 혈압을 조절하는
momo-24.com
췌장암ㆍ초기증상ㆍ대응 방법
췌장암ㆍ초기증상ㆍ대응 방법췌장암은 췌장에서 발생하는 암으로, 췌장은 소화 효소와 인슐린을 분비하는 중요한 기관입니다.췌장암은 초기에는 뚜렷한 증상이 없어서 발견이 어려운 경우가
momo-24.com
혈변이 나오는 이유ㆍ암 가능성
혈변이 나오는 이유와 암 가능성 혈변은 대변에 피가 섞여 나오는 상태를 말하며, 이를 경험하게 되면 많은 사람들이 걱정을 하게 됩니다.혈변의 원인은 단순한 문제부터 심각한 질환까지 다양
momo-24.com
'자기계발 > 건강 지식' 카테고리의 다른 글
| 편도선염 증상과 통증 원인 (0) | 2025.01.13 | 
|---|---|
| 오십견 증상 및 자연치유 (0) | 2025.01.12 | 
| 소변이 자주 마려운 이유 (0) | 2025.01.11 | 
| 손가락 관절염ㆍ원인ㆍ증상ㆍ치료방법 (0) | 2025.01.11 | 
| 아토피 피부염 자연 치유법 (0) | 2025.01.10 | 
 
										
									 
										
									 
										
									